Tandimplantaten
Bovenkaak
Onderkaak
Zygoma-implantaten
Kaakchirurgie
Orthognatische classificatie
Esthetische gezichtschirurgie
Snurken en slaapapneu
Tandimplantaten - Zygoma-implantaten
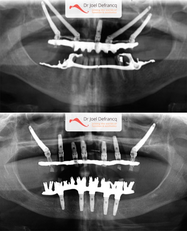
In de jaren ’90 startte P.I. Bränemark uit Zweden met een techniek waarbij het bot dat de jukbeenderen vormt, gebruikt wordt als ankerpunt voor het plaatsen van dentale zygoma-implantaten. In het jaar 2003-2004 werden hiervan resultaten en data gepubliceerd die gelijkaardige succesratio’s vertoonden als bij conventionele implantaten.De techniek van de plaatsing van zygoma-implantaten werd gedurende de laatste twintig jaar ontwikkeld en is als zodanig niet echt een punt van discussie. Er wordt niet gerekend op verankeringsmogelijkheden van het alveolaire kaakbot, zoals bij de conventionele implantaten. De zygoma implantaten groeien enkel vast ter hoogte van de jukbeenderen. Deze implantaten zijnl langer (tussen 3,5 en 5 cm) dan de reguliere implantaten (tussen 0,7 en 1,5 cm).
Het bot van de jukbeenderen is van uitstekende kwaliteit en bij nagenoeg alle patiënten is er voldoende volume aanwezig. In elk jukbeen is er genoeg plaats en volume om één of twee van deze implantaten te plaatsen. Wanneer deze implantaten verbonden worden met een vast brugwerk zijn ze ontworpen om de normale kauwkrachten zonder meer te weerstaan.Het jukbeen is als onderdeel van de gezichtsbeenderen goed bekend bij maxillofaciale chirurgen, aangezien fracturen van deze jukbeenderen vaak voorkomen (gevechten, auto-ongevallen, werk- en sportletsels). Deze frakturen worden uitsluitend door ons specialisme behandeld.
Daarom raden we aan om deze zygoma-implantaten enkel te laten plaatsen door een ervaren en goed opgeleid persoon (i.e. een maxillofaciale chirurg met een grondige kennis van de omliggende structuren rondom het jukbeen).
Tot slot stellen we vast dat de zygoma-implantaten een zeer welgekomen aanwinst zijn in de wereld van de dentale implantatologie. Daarom plaatst dr. Defrancq ze ook op regelmatige basis.
De indicatie
Zygoma-implantaten worden voorbehouden voor patiënten met een tekort aan been in het achterste gebied van de bovenkaak waarbij bottransplantatie niet onmiddellijk een optie is. Het is een welkome indicatie, aangezien er geen bottransplantaat nodig is en we de passende brug met tanden kunnen vervaardigen voor rechtstreekse belasting (i.e. vanuit praktisch oogpunt drie dagen na implantatie met een esthetisch pasmoment inbegrepen).Met zygoma-implantaten hebben de patiënten al binnen de paar dagen tanden. Wanneer we reguliere implantaten moeten plaatsen in getransplanteerd bot, is dit minstens acht maanden.
Heel vaak kan één zygoma-implant aan elke kant gecombineerd worden met reguliere implantaten in het gebied van de voortanden. In meer extreme gevallen worden langs elke zijde 2 zygoma implantaten geplaatst en worden eveneens dadelijk belast.
De procedure
Vooraleer de operatie plaatsvindt, nemen we een extended i-cat). Deze laat ons toe de beenderige structuren, in het bijzonder de jukbeenderen, driedimensionaal te bestuderen. Zygoma-implantaten worden onder algemene anesthesie geplaatst.
Er zijn twee basisopties:
Er zijn twee basisopties:
Optie 1: We plaatsen vier zygoma-implantaten in de totale en extreem atrofische bovenkaak (aangezien bot ontbreekt voor reguliere implantaten), gevolgd door een vaste suprastructuur (tanden) binnen de paar dagen. Een extra regulier implantaat ter hoogte van de voortanden is altijd aan te raden, omwille van een betere stabiliteit. Dit kan later veel klachten voorkomen.Optie 2: We plaatsen twee zygoma-implantaten in het gebied van de tweede voorkiezen en drie tot vier reguliere implantaten ter hoogte van de voortanden. Deze optie wordt ook gevolgd door een vaste suprastructuur (tanden) binnen de paar dagen.
Er is inderdaad meestal nog wat bot aanwezig in het voorste deel van de bovenkaak recht onder het neusgebied. Indien er enkele (twee tot vier) reguliere implantaten kunnen worden geplaatst in het gebied van de voortanden, zal dr. Defrancq dit altijd doen. De sinussen zijn in de meer achtergelegen delen van de bovenkaak gelegen, en ten gevolge van de sinusuitbreiding is er daar vaak niet genoeg bot aanwezig. Dr. Defrancq plaatst daar twee zygoma-implantaten. Een rechtstreekse belasting volgt altijd op de ingreep en de patiënt heeft binnen een week vaste porseleinen of chroom-kobalt tanden.
Het verzorgen van uw mondhygiëne na de plaatsing van implantaten
Indien u een vaste brug op zygoma-implantaten heeft, heeft u nog altijd nood aan een regelmatige dagelijkse mondhygiëne. De meeste patiënten gebruiken naast een tandenborstel ook tandenstokers om routinematig de gebieden rondom de implantaten en de brug te reinigen. Regelmatige bezoeken aan een mondhygiënist zijn ook van cruciaal belang ter controle en/of voor het reinigen.
Het mucosaal gebied rond de jukbeenderen moet worden gecontroleerd op de aanwezigheid van dehiscentie (barsten). Dr. Defrancq is ervan overtuigd dat dit afhankelijk is van de heelkundige techniek.
’s Nachts een zachte plastieken gebitsbeschermer dragen is ook aan te raden, vooral gedurende het eerste jaar. Dit is zeker het geval als u weet dat u uw tanden op elkaar klemt.
Het mucosaal gebied rond de jukbeenderen moet worden gecontroleerd op de aanwezigheid van dehiscentie (barsten). Dr. Defrancq is ervan overtuigd dat dit afhankelijk is van de heelkundige techniek.
’s Nachts een zachte plastieken gebitsbeschermer dragen is ook aan te raden, vooral gedurende het eerste jaar. Dit is zeker het geval als u weet dat u uw tanden op elkaar klemt.
Persoonlijke beschrijving, mening en credo van dr. Defrancq:
Het zygoma-implantaat kan gelegen zijn binnen, buiten, of in de beenderige wand van het buitenste deel van de bovenkaaksinus. Deze behuizing wordt uitsluitend bepaald door de beide uiteinden van de implantaten.
Voor een goed resultaat is ook hygiënisch proper weefsel nodig rondom de uitgang van het implantaat, zonder enige barsten. Dehiscentie (barsten) kunnen worden vermeden en zijn afhankelijk van de chirurgische techniek.
Het zygoma-implantaat kan gelegen zijn binnen, buiten, of in de beenderige wand van het buitenste deel van de bovenkaaksinus. Deze behuizing wordt uitsluitend bepaald door de beide uiteinden van de implantaten.
- Het craniaal gedeelte van het implantaat moet zich veilig bevinden in het volume van het jukbeen.
- Het distaal gedeelte van het implantaat moet anatomisch ondergebracht worden op de kam, onder de toekomstige boogvorm van het kroon- en brugwerk.
- Het resultaat moet een niet onderbroken uitgangspunt zijn voor uw brugwerk (i.e. niet de uitgangspunten op het verhemelte).
Voor een goed resultaat is ook hygiënisch proper weefsel nodig rondom de uitgang van het implantaat, zonder enige barsten. Dehiscentie (barsten) kunnen worden vermeden en zijn afhankelijk van de chirurgische techniek.
