Tandimplantaten
Kaakchirurgie
Orthognatische classificatie
Balans van het aangezicht
Klasse II - retrognathie
Prognathisme - pseudo prognathisme
Tandvleeslach
Te korte bovenkaak
Open beet
Te smalle kaken / Smile distractor
Scheve kaken / Asymmetrische gezicht
Esthetische gezichtschirurgie
Snurken en slaapapneu
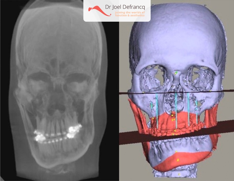
Orthognatische classificatie - Scheve kaken / Asymmetrische gezicht
De symmetrie van het gezicht beïnvloedt het oordeel over de esthetische kenmerken, de fysische aantrekkelijkheid en de schoonheid. Wanneer de asymmetrie van het gezicht duidelijk en storend wordt, is dit het gevolg van een abnormale groeiontwikkeling van de onderkaak. De onderkaak als botstructuur is inderdaad gevoelig voor asymmetrische ontwikkeling. Dit kan zijn ten gevolge van:
1. Abnormaal overvloedige groei van een onderkaakhelft, of mandibulakop of collum mandibularis. Een zijde wordt te groot waardoor asymmetrie overduidelijk wordt. Het midden van de kin wijkt af naar de onaangedane zijde. Kenmerken van condylaire hyperplasie kunnen eveneens zijn: posterieure open beet aan de aangedane zijde wanneer ontwikkeld tijdens de (late) adolescentie, of kanteling van het occlusaal vlak van de bovenkaak wanneer ontwikkeld op jongere leeftijd.2. Abnormale ondergroei van de mandibulakop (kop van de onderkaak). Het groeicentrum van de onderkaak, gelokaliseerd in de condyl, is beschadigd door trauma of infectie. Juveniele idiopathische artritis (JIA) en condylaire fracturen zijn ook veel voorkomende oorzaken van groeistoornissen van de onderkaak. Het groeicentrum van de onderkaak binnenin de condyl wordt vernietigd door trauma of inflammatoire ziekten. Beiden resulteren aan de aangedane zijde in een onderontwikkeling met een verschuiving van de kinpunt naar deze aangedane zijde. Er is eveneens een ernstige assymetrische retrognathische occlusie (Klasse II). Indien er juveniele artritis aanwezig is, zijn beide kanten aangetast en bestaat de kans dat de open beet met Klasse II zal ontwikkelen met ernstige retrognathie (teruggetrokken kaak). Er wordt met de behandeling gewacht tot de ziekte volledig is uitgedoofd, waarna orthognatische heelkunde kan volgen. Dit omdat asymmetrische ondergroei er het gevolg van is, waardoor één kant te smal wordt.
Symptomen
Malocclusie, kruisbeet en asymmetrie in het aangezicht. Deze aandoening creëert een variabel uitzicht dat zowel de occlusie, de kaken en het gezicht beïnvloedt. In de aangedane condyl kan de abnormale groei tijdens de jeugd van persisterende en blijvende aard zijn, of kan in verschillende golven verlopen.
De behandeling van hemimandibulaire hyperplasie tijdens de jeugd (groei) vereist een uitgebreidere planning, aangezien het ook heelkunde van de condyl inhoudt.
De abnormale groei stopt volledig (dooft uit) eenmaal de algemene groei ook is beëindigd. De behandeling wordt dan eenvoudiger en meer voorspelbaar bij de repositie van de onderkaak (alsook vaak van de bovenkaak). Heelkunde van de condyl is dan ook niet meer nodig.
De behandeling van hemimandibulaire hyperplasie tijdens de jeugd (groei) vereist een uitgebreidere planning, aangezien het ook heelkunde van de condyl inhoudt.
De abnormale groei stopt volledig (dooft uit) eenmaal de algemene groei ook is beëindigd. De behandeling wordt dan eenvoudiger en meer voorspelbaar bij de repositie van de onderkaak (alsook vaak van de bovenkaak). Heelkunde van de condyl is dan ook niet meer nodig.


