Tandimplantaten
Bovenkaak
Onderkaak
Zygoma-implantaten
Kaakchirurgie
Orthognatische classificatie
Esthetische gezichtschirurgie
Snurken en slaapapneu
Tandimplantaten - Onderkaak
Voorafgaande opmerking: Vandaag de dag voorzien we zowel de bovenkaak als de onderkaak van implantaten en vaste tanden in een tijdsbestek van vier dagen. De manier om dit eindresultaat te bereiken, verschilt aanzienlijk tussen bovenkaak en onderkaak. Dit omwille van de specifieke bijzonderheden van elke kaak, de verschillende benadering die ze nodig hebben, alsook hun individuele esthetische en functionele accenten en eisen. Om deze reden verkiest dr. Defrancq een afzonderlijke bespreking van de boven- en onderkaak.
De onderkaak is ideaal voor implantaten en vaste tanden. Bijna elke onderkaak is geschikt voor een onmiddellijke belading van de implantaten.De procedure is eenvoudig, duidelijk en snel te realiseren. In de bovenkaak is de grootste zorg van de chirurg om allesjuist uit te kiemen naar esthetiek en fonetiek toe, maar in de onderkaak ligt de focus meer op rechtstreeks comfort. De onderkaak reabilitatie is veel eerder functioneel en recht aan recht uit.
Gedurende de voorbije twintig jaar heeft dr. Defrancq vele honderden patiënten geholpen aan een vaste constructie op vier tot zes implantaten in de onderkaak, en dit in een kleine week tijd gerealiseerd.
- Bij deze patiënten werden in eenzelfde tijd de tanden verwijderd en de implantaten geplaatst.
- Ofwel waren deze patiënten tandeloos vanaf het eerste consult.
- Bij deze patiënten vonden we soms de meest uitgesproken beenresorpsies.
- De patiënten waren soms reeds negentig jaar oud, en waren nadien gelukkig met hun beslissing.
Al deze patiënten kregen dadelijk vaste tanden. Meestal is deze constructie op de implanten vervaardigd uit chroom-kobalt kunsthars. De finale constructie zijn vervaardigd uit porselein.
Waarom worden implantaten in de onderkaak vaak langs voor geplaatst?
Dit is waarschijnlijk de meest essentiële overweging die we tijdens de planning dienen te maken. Indien de onderkaak zijn tanden verliest, dan resorbeert de kaak door rechtstreekse druk van het kauwen en de continue wrijvingen van de uitneembare prothese. In de onderkaak maken we steeds onderscheid tussen het gebied voor de alveolaire zenuw en het gebied erachter. Vooraan heeft de gevoelszenuw reeds de kaak verlaten en loopt die verder in de lip. Deze zenuw zorgt voor gevoel in de onderlip en beschadiging ervan is storend en dient vermeden. Praktisch gezien worden de implantaten geplaatst vooraan in de kaak en vòòr de zenuwuitgang, en meestal slechts uitzonderlijk meer achteraan.
Is het haalbaar om de implantaten rechtstreeks te beladen met een brug in zirconium met porselein in plaats van een brug in chroom-kobalt-hars?
Jazeker, dr. Defrancq doet dit vrij regelmatig op voorwaarde dat alle parameters duidelijk zijn. Het bespaart kosten en tijd, maar we moeten zeker zijn van de juiste occlusie, de beet en de beenkwaliteit. Kleine aanpassingen kunnen enkele maanden later nog worden aangebracht aan de tandvleeszijde, maar dit is niet zo belangrijk als in de bovenkaak.Maar normaal geven we er de voorkeur aan om de implantaten eerst te loaden met een voorlopige structuur (i.e. chroomkobalt met kunsthars).
Wat is de minimale hoogte vereist om in de onderkaak implantaten te plaatsen?
Dr. Defrancq plaatst regelmatig implantaten met rechtstreekse loading in onderkaken die zelfs extreem weggekwijnd zijn (7 tot 10 mm hoogte!). Het is uiterst zeldzaam dat een onderkaak nood heeft aan botopbouw. Bij dergelijke ingrepen wordt bovendien de gevoelszenuw vaak geschonden met verlies van gevoel in de onderlip. Bovendien is een botopbouw in de onderkaak zeer gevoelig voor terug weg te kwijnen en te verdwijnen, waardoor de implantaten later te hoog uitsteken. Deze casus van de onderkaak illustreert dat we zelfs in de uiterst geresorbeerde gevallen nog implantaten plaatsen. Tijdens de planning is het van belang om grotere afstanden tussen de implantaten te respecteren en aldus kaakfracturen te vermijden. Vandaar ook het belang van de rechtstreekse loading met een vaste structuur, omdat deze dan fungeert als een spalk.
Mijn moeder heeft een geavanceerde vorm van de ziekte van Parkinson. Ze eet zonder tanden, met hulp van een verpleegkundige. Is het haalbaar om bij haa vaste tanden op implantaten te plaatsen?
Dr. Defrancq voert regelmatig dergelijke interventies uit bij mindervalide patiënten onder lokale of algemene anesthesie. Een goede indicatie zijn bv patienten die lijden aan de ziekte van Parkinson. Kouwen is uiterst moeilijk, zoniet onmogelijk met een uitneembare prothese. Ze kunnen deze immers niet in positie te houden. Een vaste loading is dan ook een welkome oplossing en kan onder lokale anesthesie worden uitgevoerd. Binnen de twee dagen worden de tanden op de implantaten bevestigd. Speciale mondzorg is nadien noodzakelijk, maar dit is zeker niet onmogelijk wanneer de patiënt met goede zorgen omringd is.
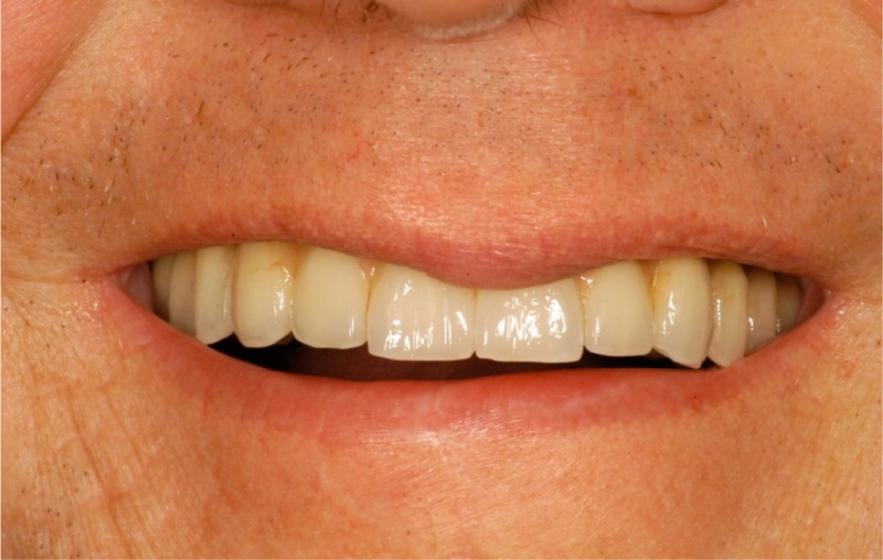
Een patiënt met de ziekte van Parkinson door Dr Defrancq aldus behandeld. De implantaten werden geplaatst onder lokale verdoving en de tanden werden er enkele dagen later vast opgeschroefd .
Een patiënt met de ziekte van Parkinson door Dr Defrancq aldus behandeld. De implantaten werden geplaatst onder lokale verdoving en de tanden werden er enkele dagen later vast opgeschroefd .
Is de zelfde oplossing mogelijk bij mentaal geretardeerde patiënten of spastische patiënten?
Dit is absoluut mogelijk. Dr. Defrancq doet dit tijdens twee ingrepen onder algemene verdoving:
Bij personen die als gevolg van spasticiteit de tanden op elkaar klemmen, gebruikt dr. Defrancq kunsthars en chroom cobalt onderstructuur. De tanden worden versterkt met een gouden folie ter hoogte van het bijtvlak. Dit zorgt voor een zacht en stil contact tussen de tanden tijdens het eten en het dichtklemmen. Dit zijn uitzonderlijke gevallen, maar dr. Defrancq heeft zich deze technieken eigen gemaakt om mindervaliede patiënten, zoals de jongen hieronder en vele anderen, te kunnen helpen. Minstens zes dergelijke patiënten zijn al op deze manier geholpen door middel van implantaten met volledige tandconstructie in de boven- en onderkaak. Het is een heel dankbare taak die voor dr defrancq veel voldoening schenkt. Het is duidelijk dat de wil om de nazorg en verdere mondhygiëne te organiseren goed overwogen moet worden door de familieleden of door de instelling.
- Een eerste ingreep om de implantaten te plaatsen en verdere metingen en afdrukken te nemen.
- Een tweede ingreep om de tanden enkele dagen later te fixeren.
- Soms is ook een derde ingreep onder algemene verdoving noodzakelijk als de situatie een beetje moeilijker is. Dit vormt echter eerder de uitzondering dan de regel.
Bij personen die als gevolg van spasticiteit de tanden op elkaar klemmen, gebruikt dr. Defrancq kunsthars en chroom cobalt onderstructuur. De tanden worden versterkt met een gouden folie ter hoogte van het bijtvlak. Dit zorgt voor een zacht en stil contact tussen de tanden tijdens het eten en het dichtklemmen. Dit zijn uitzonderlijke gevallen, maar dr. Defrancq heeft zich deze technieken eigen gemaakt om mindervaliede patiënten, zoals de jongen hieronder en vele anderen, te kunnen helpen. Minstens zes dergelijke patiënten zijn al op deze manier geholpen door middel van implantaten met volledige tandconstructie in de boven- en onderkaak. Het is een heel dankbare taak die voor dr defrancq veel voldoening schenkt. Het is duidelijk dat de wil om de nazorg en verdere mondhygiëne te organiseren goed overwogen moet worden door de familieleden of door de instelling.
Is het mogelijk om implantaten te plaatsen bij patiënten die bestraald zijn geweest in de mondregio?
Absoluut! Dr. Defrancq zet zich graag in voor deze patiënten die bestraald zijn geweest voor een mondtumor.Het is een prachtige indicatie, omdat vele patiënten extreem pijnlijke en gevoelige tanden heeft na bestraling. Deze ingreep betekent ontzettend veel voor hen, niet alleen op functioneel vlak maar ook op vlak van comfort en zelfwaarde.
Een zorgvuldige werkwijze is noodzakelijk om de tanden zo atraumatisch mogelijk te verwijderen. Dr. Defrancq heeft dergelijke constructies bij een tiental patiënten uitgevoerd zonder noemenswaardige moeilijkheden en met immediate loading. Vaak wordt een uitvoering in porselein verkozen. Deze patiënten hebben immers vaak een heel droge mond hebben en onder deze omstandigheden voelt porselein veel comfortabeler aan dan hunsthars.
Een zorgvuldige werkwijze is noodzakelijk om de tanden zo atraumatisch mogelijk te verwijderen. Dr. Defrancq heeft dergelijke constructies bij een tiental patiënten uitgevoerd zonder noemenswaardige moeilijkheden en met immediate loading. Vaak wordt een uitvoering in porselein verkozen. Deze patiënten hebben immers vaak een heel droge mond hebben en onder deze omstandigheden voelt porselein veel comfortabeler aan dan hunsthars.
