Ga terug naar het case overzicht
Ivonne
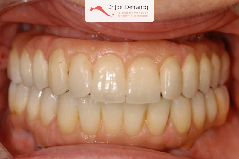
Dentale diagnose
- Klasse I
Behandeling tandheelkundige implantaten
- Vaste tanden op implantaten (bovenkaak)
- Vaste tanden op implantaten (onderkaak)















