Ga terug naar het case overzicht
Diana: : Overbeet - diepe beet, smalle bovenkaak - lipofilling
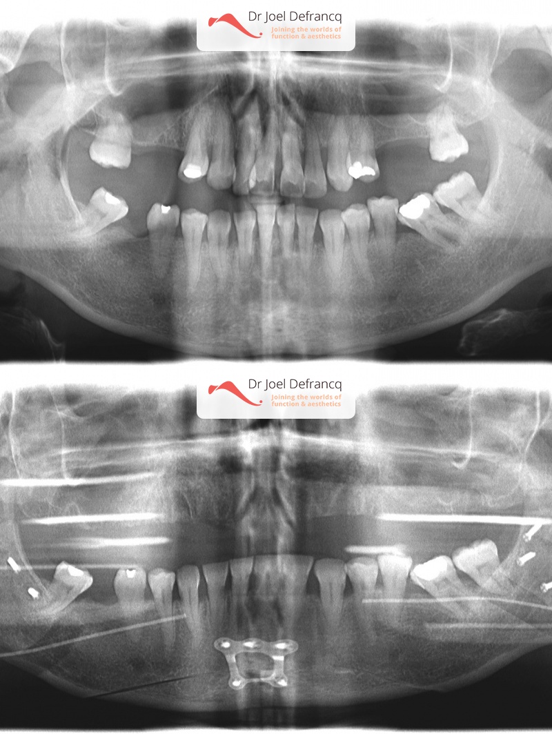
Diagnose van het gezicht
- Te kleine onderkaak (Overbeet)
- Te lange bovenkaak
- Te smalle bovenkaak
Dentale diagnose
- Klasse II divisie 1
Kaakchirurgie
- Verlenging onderkaak (BSSO)
- Vertikale verkorting bovenkaak (Le Fort I)
- Kinchirurgie
Esthetische chirurgie
- Lipofilling















