Ga terug naar het case overzicht
Raymonde
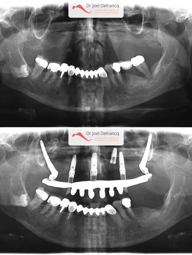
Dentale diagnose
- Open beet
Behandeling tandheelkundige implantaten
- Vaste tanden op implantaten (bovenkaak)
- Zygoma implantaten















