Ga terug naar het case overzicht
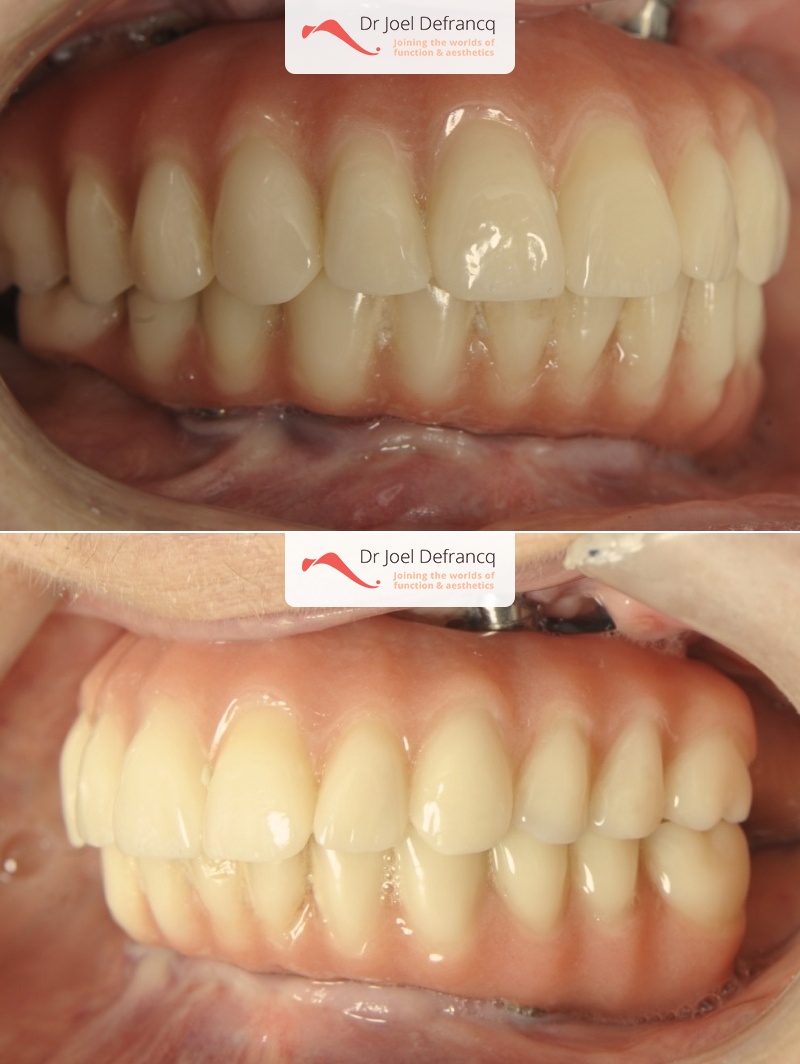
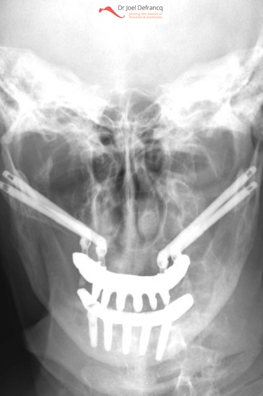
Paula: Dentale implantaten boven en onder / onmiddelijke belasting / Dentale zygoma implantaten
Behandeling tandheelkundige implantaten
- Vaste tanden op implantaten (bovenkaak)
- Vaste tanden op implantaten (onderkaak)
- Zygoma implantaten















