Ga terug naar het case overzicht
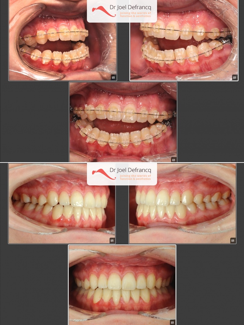
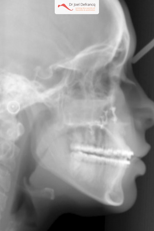
Daphne: Open beet
Diagnose van het gezicht
- Te lange bovenkaak
- Open beet
Dentale diagnose
- Klasse I
Kaakchirurgie
- Verlenging bovenkaak (Le Fort I)















