Ga terug naar het case overzicht
Beatrice: LLongface, (vertical maxillary hyperplasia, retrognathic lower jaw, chin deficiency,
Diagnose van het gezicht
- Te kleine onderkaak (Overbeet)
- Te kort gezicht
- Te lange bovenkaak
- Open beet
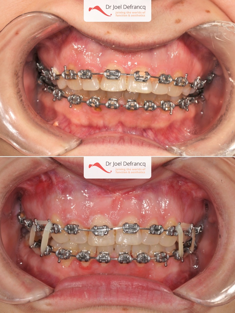
Dentale diagnose
- Klasse II divisie 1
- Open beet
Kaakchirurgie
- Verlenging onderkaak (BSSO)
- Vertikale verkorting bovenkaak (Le Fort I)
- Kinchirurgie















