Ga terug naar het case overzicht
Rudo: Pseudo prognatisme - open beet- te smalle bovenkaak - asymmetry
Diagnose van het gezicht
- Te grote onderkaak (Onderbeet)
- Te kleine onderkaak (Overbeet)
- Te smalle bovenkaak
- Open beet
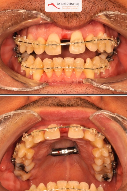
Dentale diagnose
- Klasse III
- Open beet
Kaakchirurgie
- Verkorting onderkaak (BSSO)
- Verlenging bovenkaak (Le Fort I)
- Rotatie bovenkaak
- Onderkaak rotatie
- Kinchirurgie
- Verbreden bovenkaak (Smile distractor)
Esthetische chirurgie
- Jukbeen augmentatie















