Ga terug naar het case overzicht
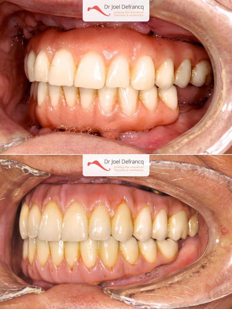
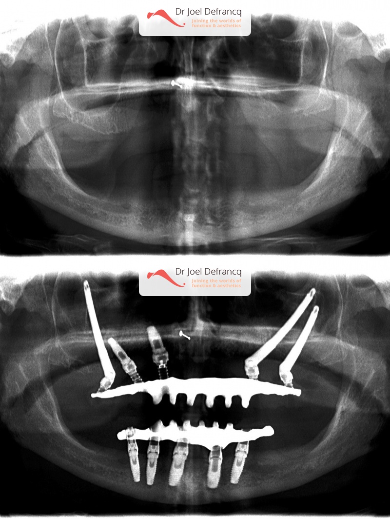
Laurette: All on four implants - Liplift
Behandeling tandheelkundige implantaten
- Vaste tanden op implantaten (bovenkaak)
- Vaste tanden op implantaten (onderkaak)
- Zygoma implantaten
Esthetische chirurgie
- Liplift















