Ga terug naar het case overzicht
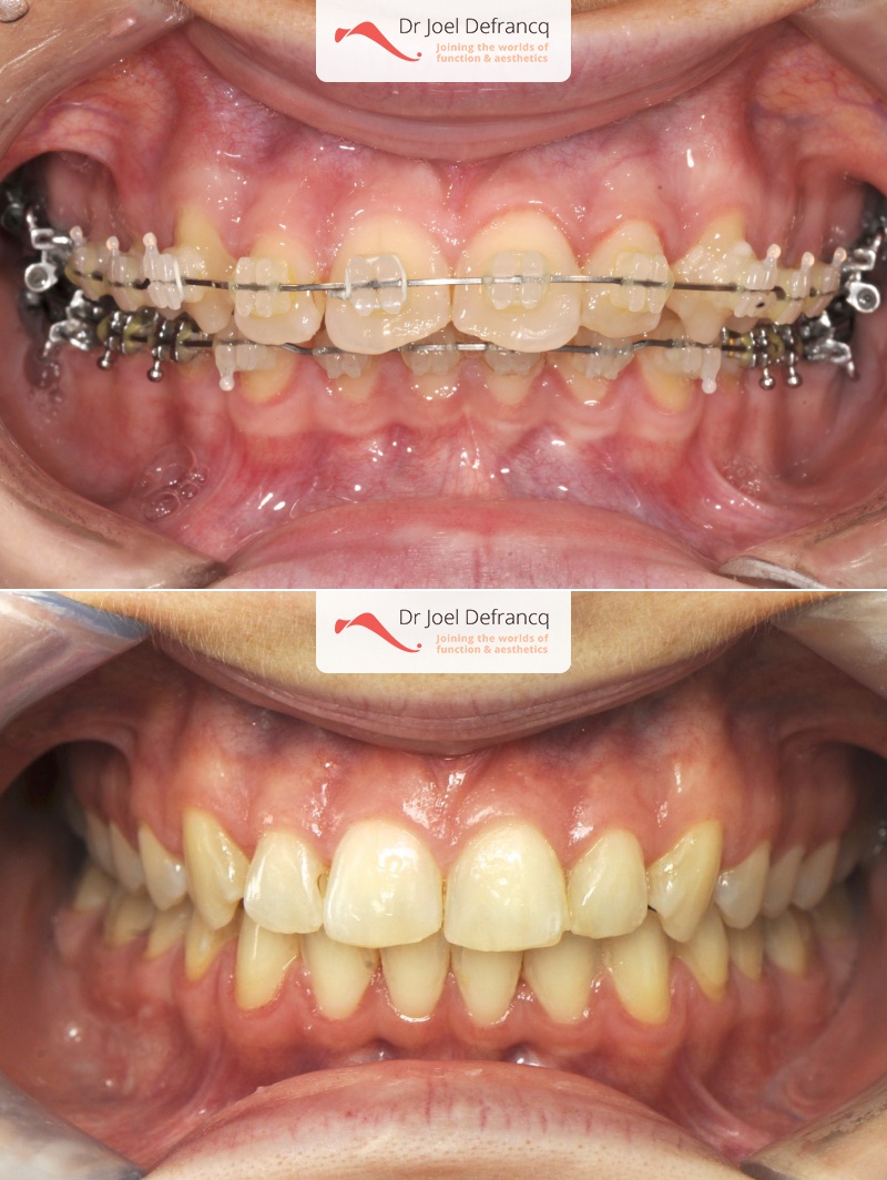
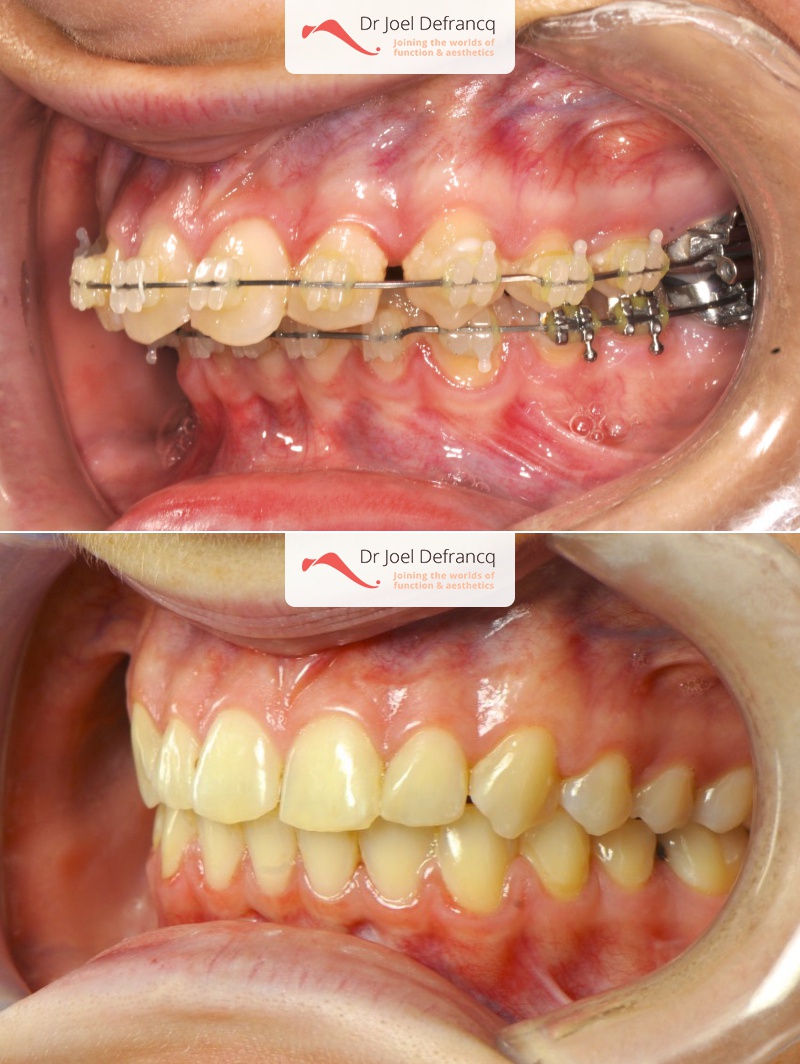
bella: Onderkaak te klein - diepe beet - overbeet
Diagnose van het gezicht
- Te kleine onderkaak (Overbeet)
Kaakchirurgie
- Verlenging onderkaak (BSSO)















