Ga terug naar het case overzicht
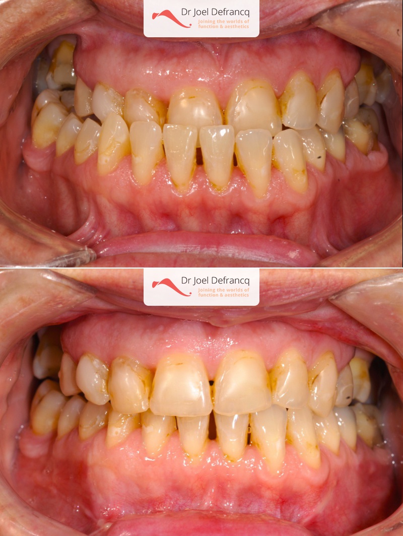
Doria: Te grote onderkaak, te kleine bovenkaak
Diagnose van het gezicht
- Te grote onderkaak (Onderbeet)
- Te kleine bovenkaak
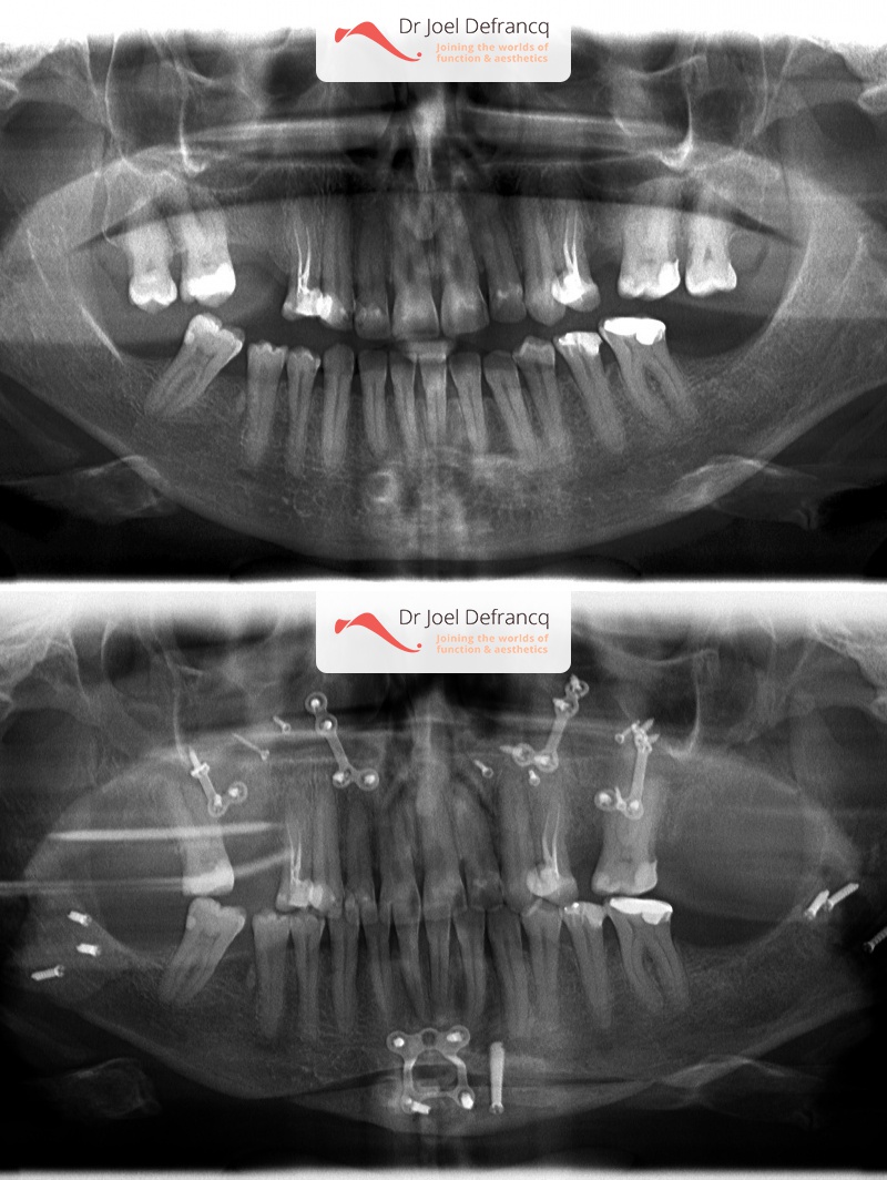
Kaakchirurgie
- Verlenging onderkaak (BSSO)
- Verlenging bovenkaak (Le Fort I)
- Rotatie bovenkaak
- Onderkaak rotatie
- Kinchirurgie
Esthetische chirurgie
- Liposuctie















