Ga terug naar het case overzicht
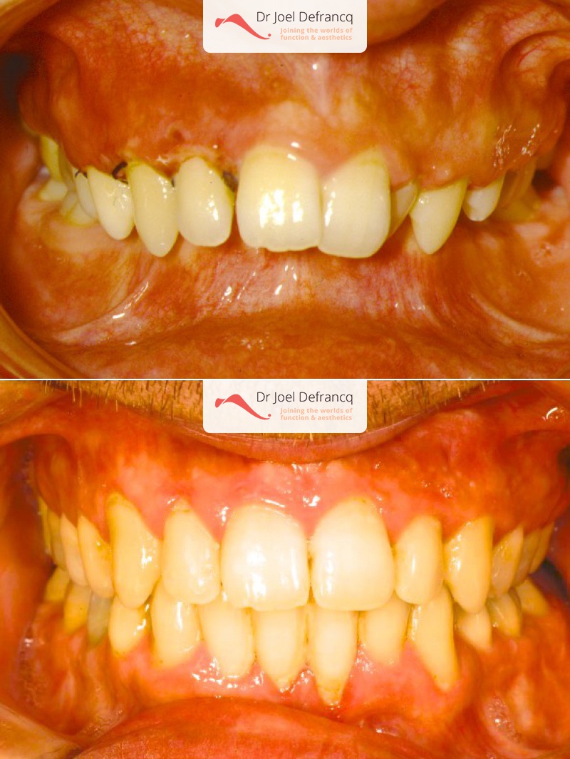
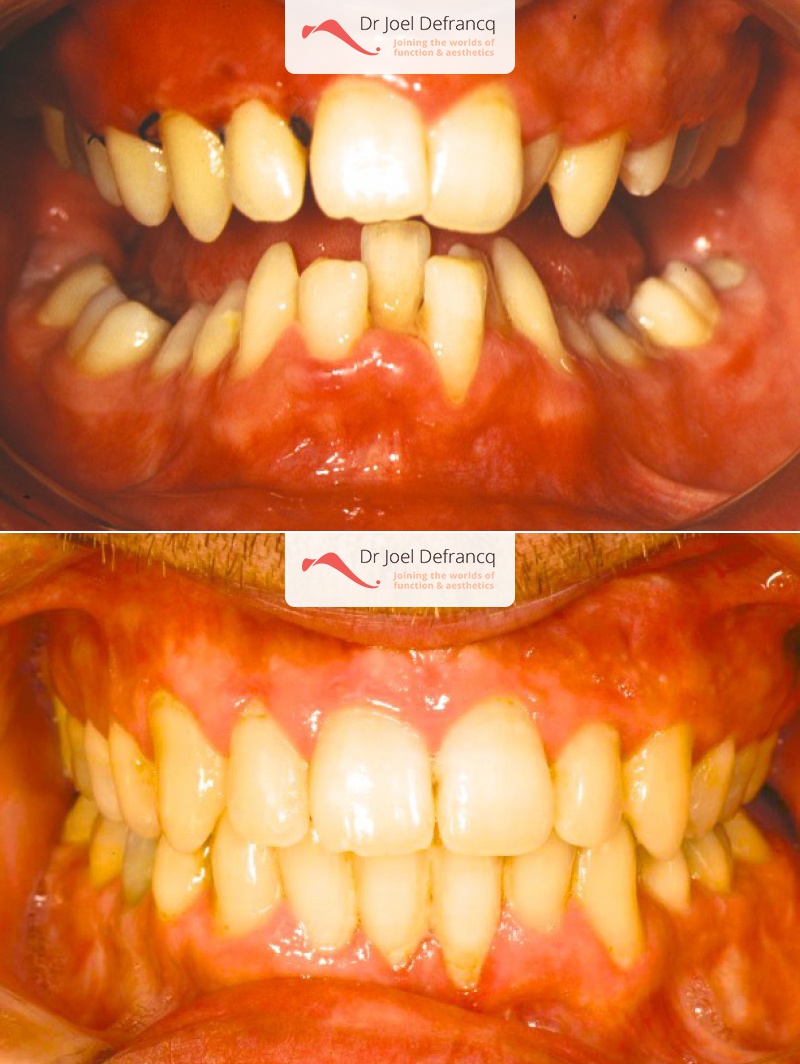
Kiro: Diepe beet, overbeet, diepe kin plooi
Diagnose van het gezicht
- Te kleine onderkaak (Overbeet)
- Te kort gezicht
Dentale diagnose
- Klasse II divisie 1
Kaakchirurgie
- Verlenging onderkaak (BSSO)
- Kinchirurgie















