Ga terug naar het case overzicht
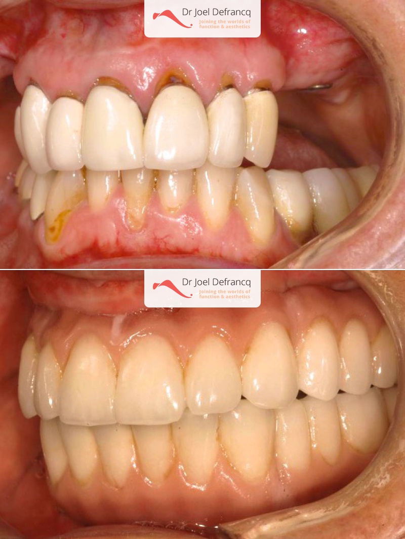
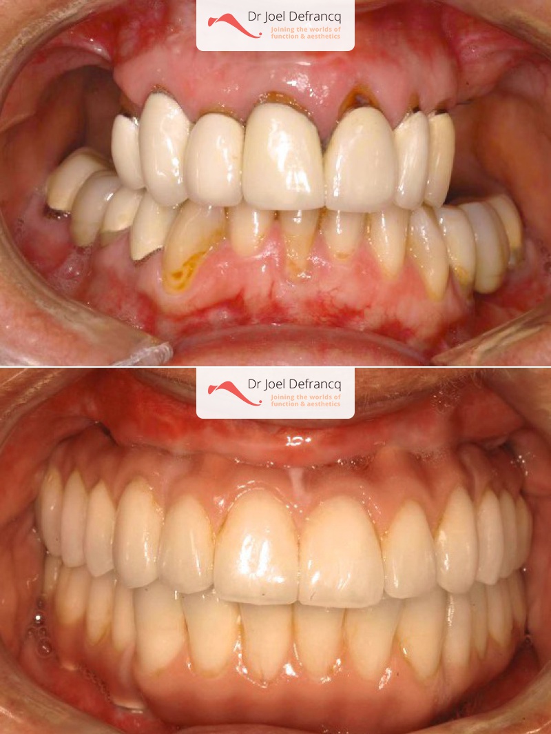
Elise: All on four implantaten
Dentale diagnose
- Klasse I
Behandeling tandheelkundige implantaten
- Vaste tanden op implantaten (bovenkaak)
- Vaste tanden op implantaten (onderkaak)















