Ga terug naar het case overzicht
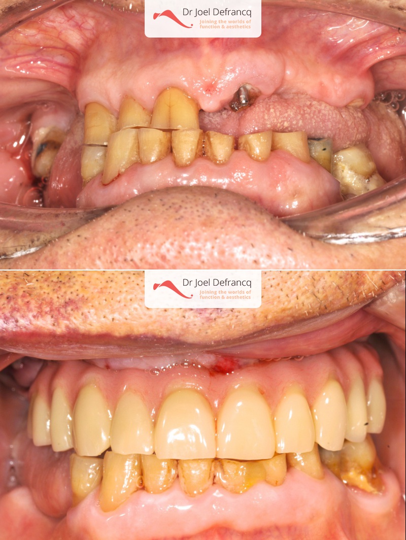
Nan: Immediaat belaste tanden op bovenkaak. All on four concept.
Behandeling tandheelkundige implantaten
- Vaste tanden op implantaten (bovenkaak)















