Ga terug naar het case overzicht
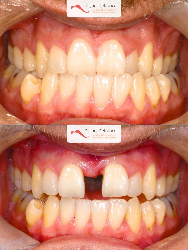
Natan: Kaakchirurgie voor en na. Te nauwe bovenkaak
Diagnose van het gezicht
- Te kleine bovenkaak
Dentale diagnose
- Klasse III
- Randbeet
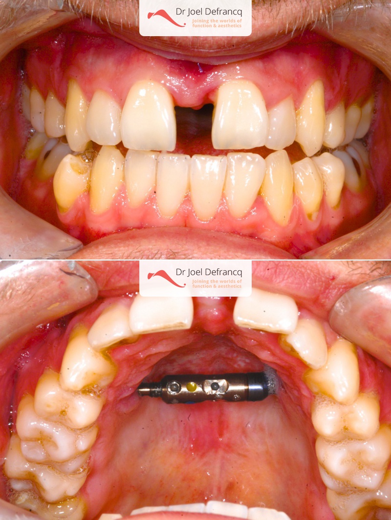
Kaakchirurgie
- Verlenging bovenkaak (Le Fort I)
- Verbreden bovenkaak (Smile distractor)















