Ga terug naar het case overzicht
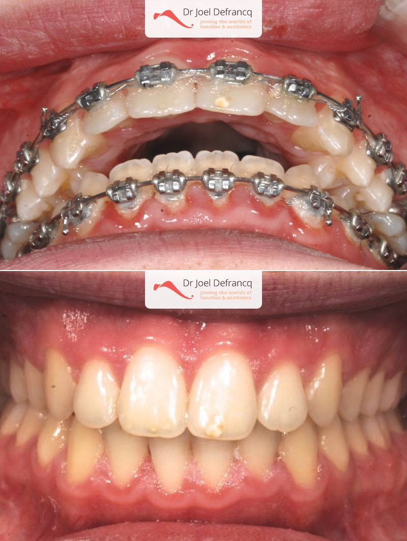
Mickel: gummy smile, lower jaw too short.
Diagnose van het gezicht
- Te kleine onderkaak (Overbeet)
- Te lange bovenkaak
- Te smalle bovenkaak
Dentale diagnose
- Klasse II divisie 1
Kaakchirurgie
- Verlenging onderkaak (BSSO)
- Vertikale verkorting bovenkaak (Le Fort I)
- Kinchirurgie
- Verbreden bovenkaak (Smile distractor)
Esthetische chirurgie
- Jukbeen augmentatie















