Ga terug naar het case overzicht
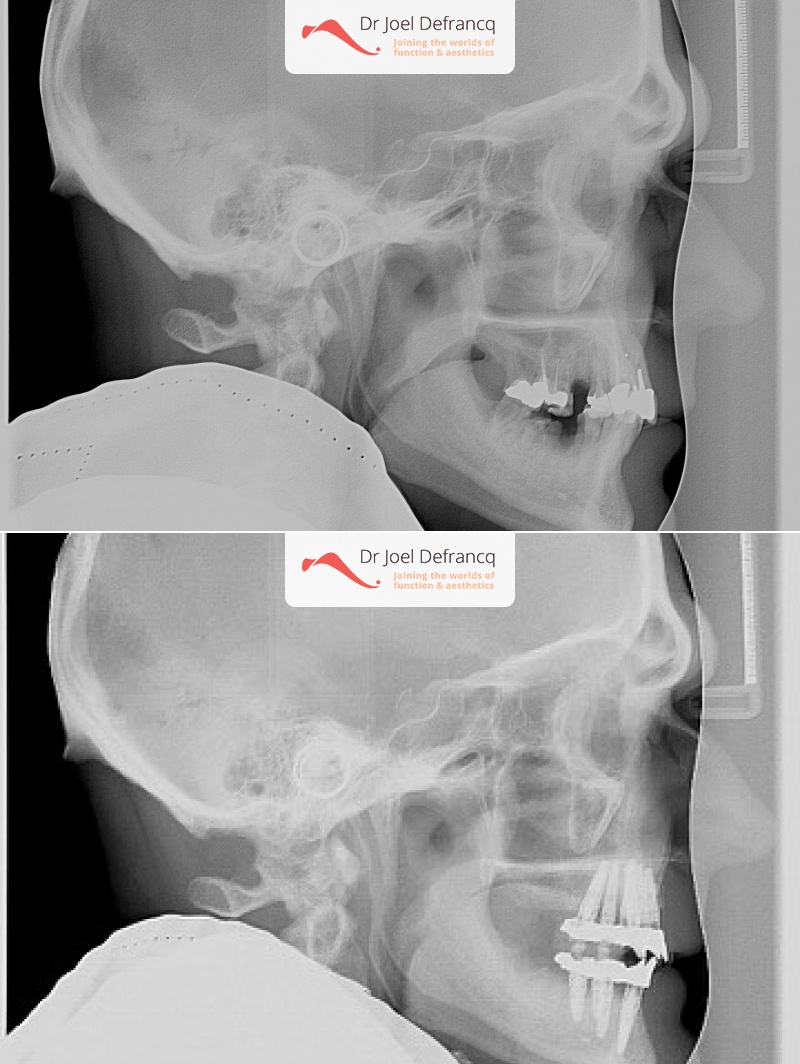
Veli: new teeth in a week - implants.
Dentale diagnose
- Klasse I
Behandeling tandheelkundige implantaten
- Vaste tanden op implantaten (bovenkaak)
- Vaste tanden op implantaten (onderkaak)















