Ga terug naar het case overzicht
Balera: Extreme deep bite - implants
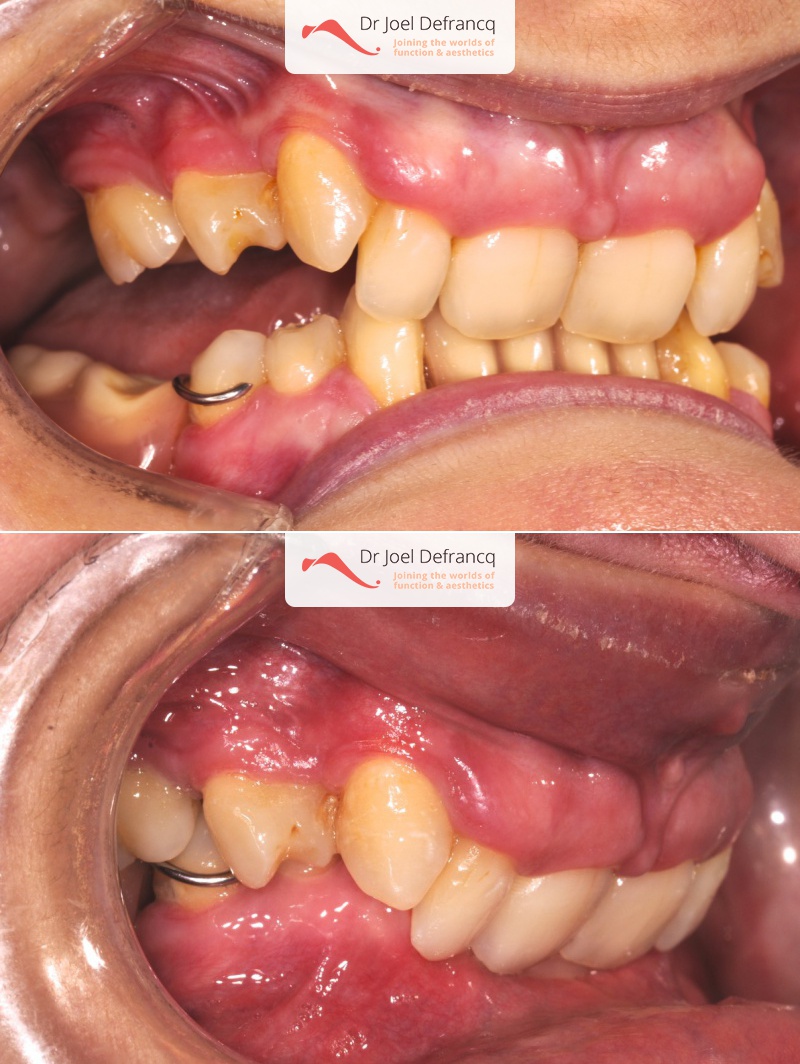
Diagnose van het gezicht
- Te kleine onderkaak (Overbeet)
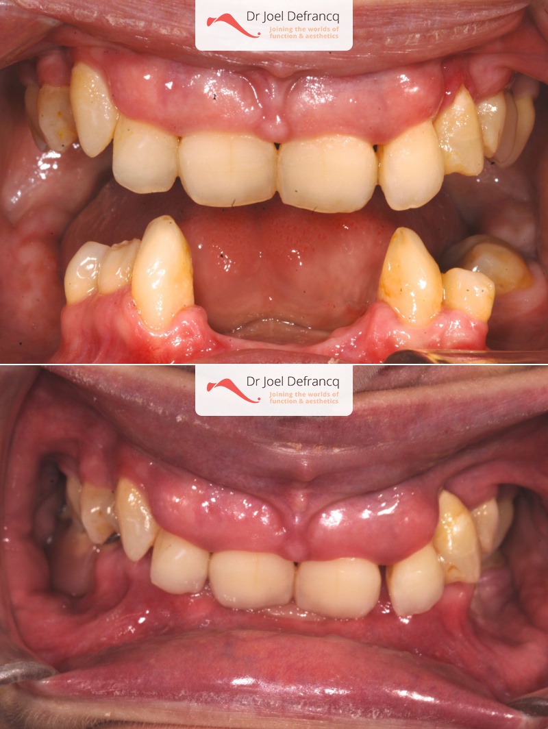
Dentale diagnose
- Klasse II divisie 2
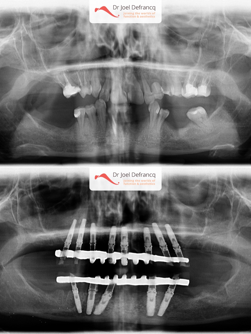
Behandeling tandheelkundige implantaten
- Vaste tanden op implantaten (bovenkaak)
- Vaste tanden op implantaten (onderkaak)
- Implantaten met beenopbouw
Esthetische chirurgie
- Jukbeen reductie
- Kaakhoek augmentatie















