Ga terug naar het case overzicht
Virginie: Implantaten "all-on-4 four" concept
Diagnose van het gezicht
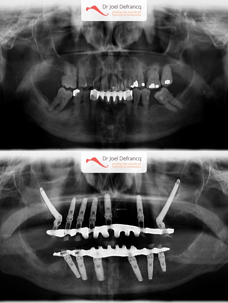
- Slechte tanden
Behandeling tandheelkundige implantaten
- Vaste tanden op implantaten (bovenkaak)
- Vaste tanden op implantaten (onderkaak)















