Ga terug naar het case overzicht
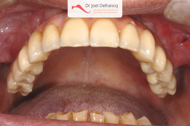
Dalon: fixed teeth in a week - implants
Behandeling tandheelkundige implantaten
- Vaste tanden op implantaten (bovenkaak)
- Zygoma implantaten















