Ga terug naar het case overzicht
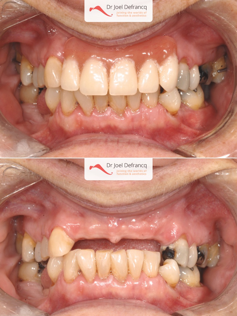
Axelle: new teeth in a week - implants.
Behandeling tandheelkundige implantaten
- Vaste tanden op implantaten (bovenkaak)















