Ga terug naar het case overzicht
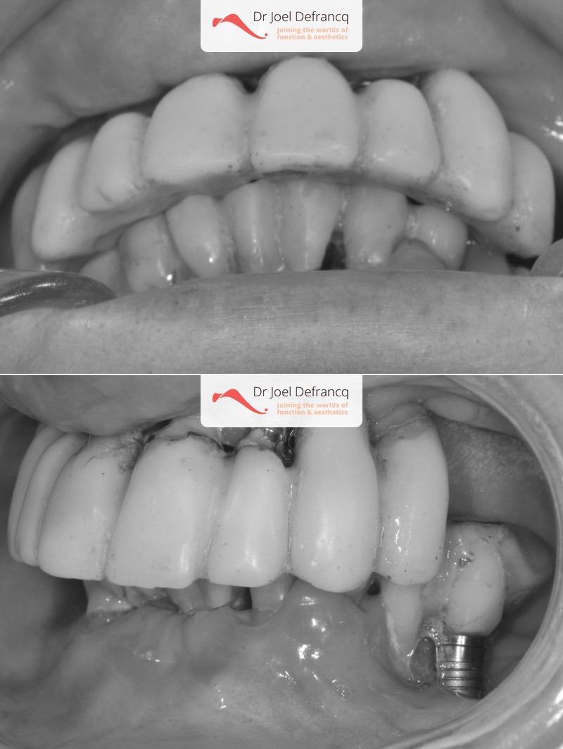
Kait: new teeth in a week - 4 zygoma implants
Diagnose van het gezicht
- Te kort gezicht
- Te lange bovenkaak
Dentale diagnose
- Klasse II divisie 1
Behandeling tandheelkundige implantaten
- Vaste tanden op implantaten (bovenkaak)
- Vaste tanden op implantaten (onderkaak)
- Zygoma implantaten















