Ga terug naar het case overzicht
Geert: "all on four" concept met lipofilling en hals liposuctie
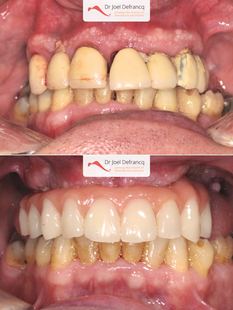
Dentale diagnose
- Klasse I
Behandeling tandheelkundige implantaten
- Vaste tanden op implantaten (bovenkaak)
Esthetische chirurgie
- Lipofilling















