Ga terug naar het case overzicht
Tabita: gummy smile, weak chin
Diagnose van het gezicht
- Te kleine onderkaak (Overbeet)
- Te lange bovenkaak
- Te smalle bovenkaak
Dentale diagnose
- Klasse I
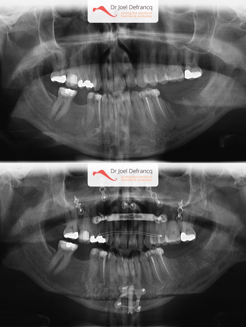
Kaakchirurgie
- Vertikale verkorting bovenkaak (Le Fort I)
- Kinchirurgie
- Verbreden bovenkaak (Smile distractor)















