Ga terug naar het case overzicht
Vitali: upper jaw too far back - jaw surgery & implants.
Diagnose van het gezicht
- Te kleine bovenkaak
- Te lang gezicht
Dentale diagnose
- Klasse III
Kaakchirurgie
- Verlenging bovenkaak (Le Fort I)
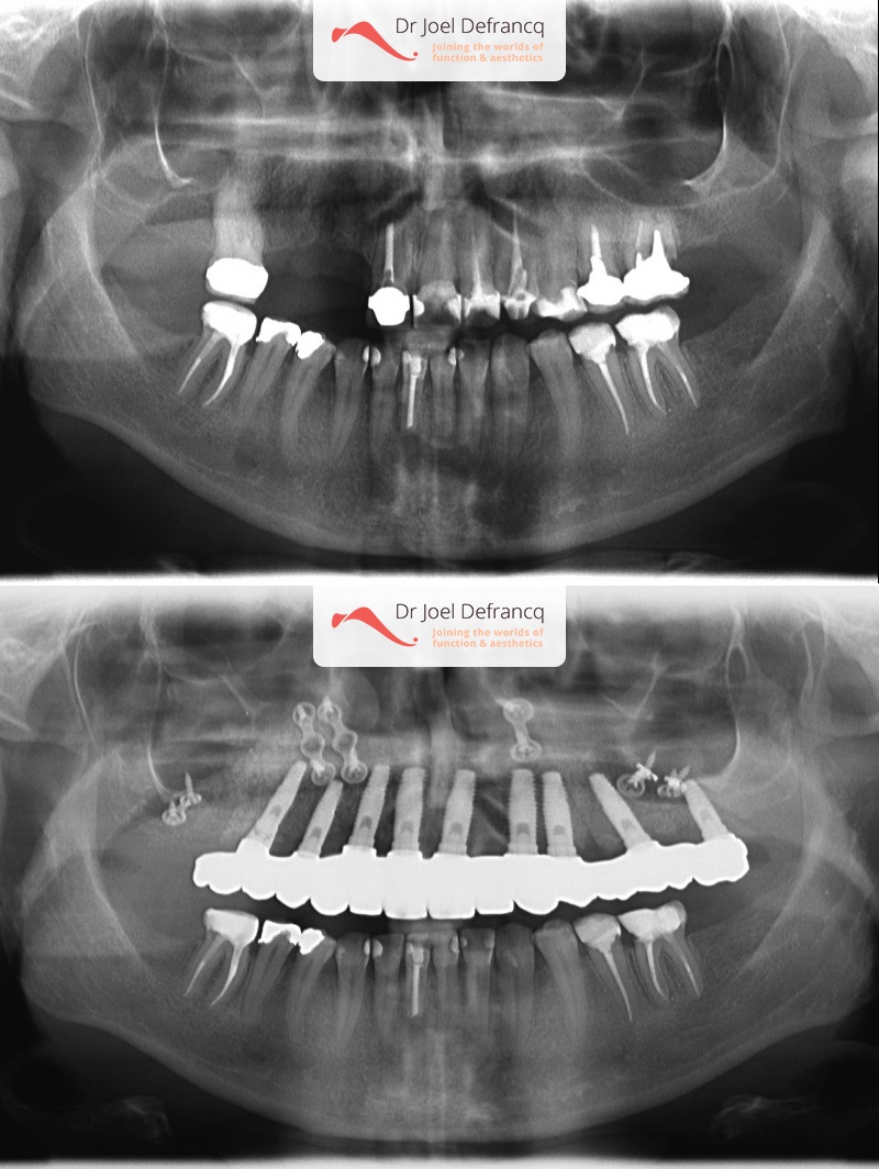
Behandeling tandheelkundige implantaten
- Vaste tanden op implantaten (bovenkaak)















