Ga terug naar het case overzicht
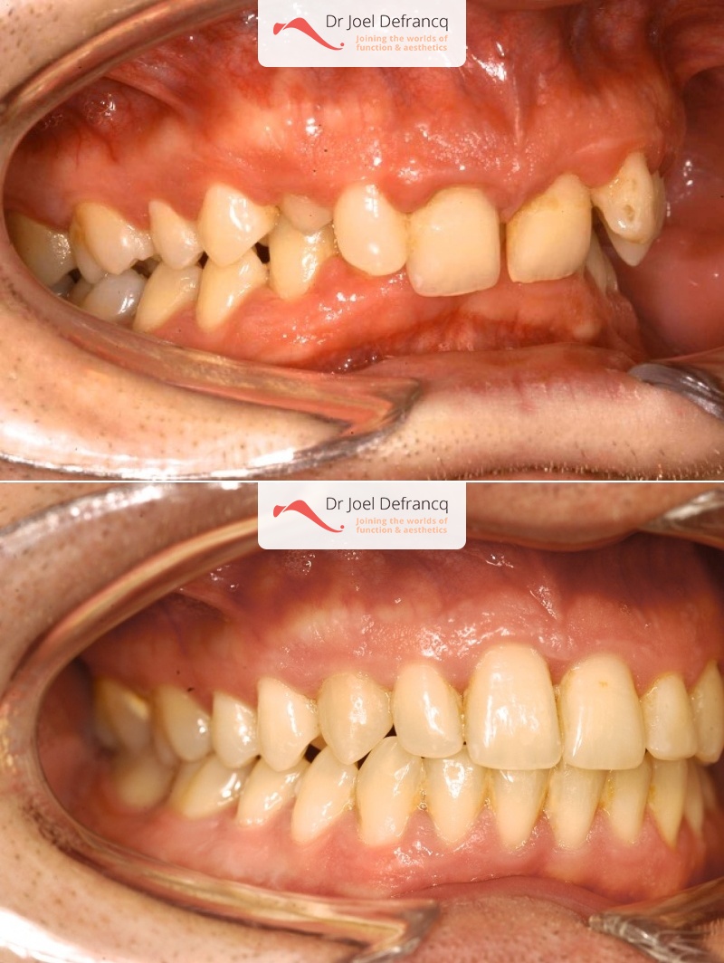
Seamour: lower jaw too far back.
Diagnose van het gezicht
- Te kleine onderkaak (Overbeet)
- Te kort gezicht
Dentale diagnose
- Klasse II divisie 2
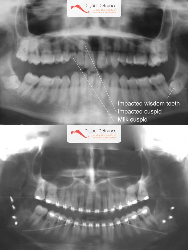
Kaakchirurgie
- Verlenging onderkaak (BSSO)















