Ga terug naar het case overzicht
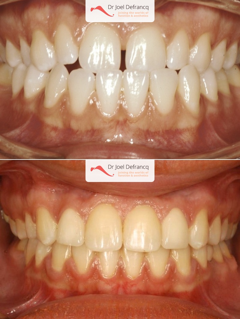
Valantia: too little of the teeth showing.
Diagnose van het gezicht
- Te korte bovenkaak
Kaakchirurgie
- Vertikale verlenging bovenkaak (Le Fort I)















