Ga terug naar het case overzicht
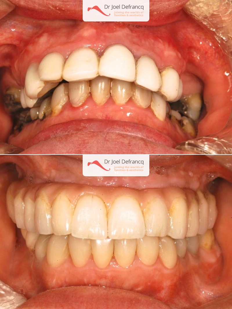
Vicky: Tandvlees lach. Kaakchirurgie met implanten.
Diagnose van het gezicht
- Te kleine onderkaak (Overbeet)
- Te lange bovenkaak
Dentale diagnose
- Klasse II divisie 1
Kaakchirurgie
- Verlenging onderkaak (BSSO)
- Kinchirurgie
Behandeling tandheelkundige implantaten
- Vaste tanden op implantaten (bovenkaak)
- Implantaten met osteotomie
- Implantaten met beenopbouw















