Ga terug naar het case overzicht
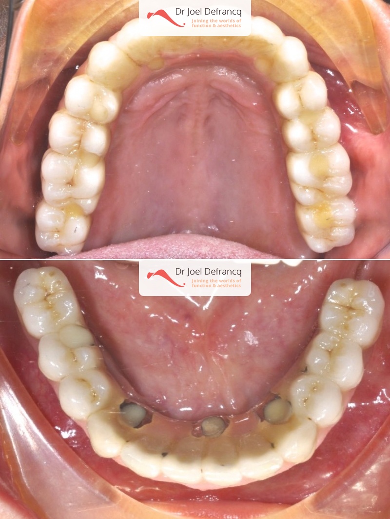
Daphne: from extreme atrophic to fixed teeth on implants
Behandeling tandheelkundige implantaten
- Vaste tanden op implantaten (bovenkaak)
- Vaste tanden op implantaten (onderkaak)
- Implantaten met beenopbouw















