Ga terug naar het case overzicht
Rudy: upper jaw too far back
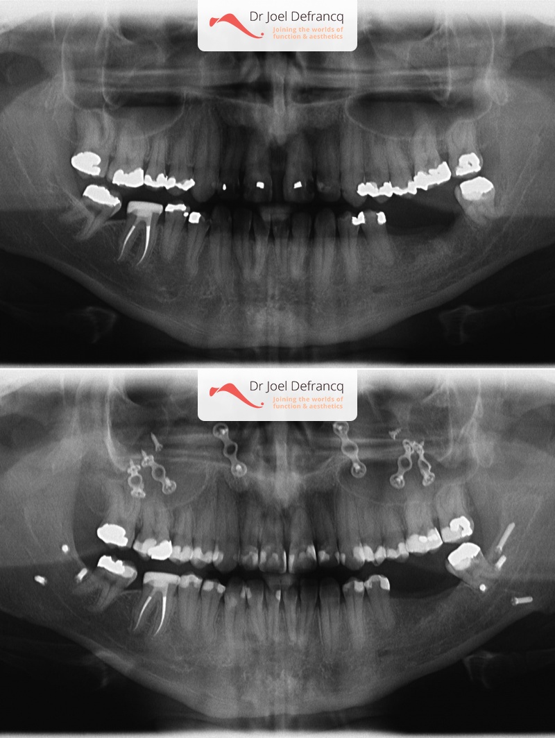
Diagnose van het gezicht
- Te grote onderkaak (Onderbeet)
- Te kleine bovenkaak
- Te korte bovenkaak
- Asymmetrisch gezicht
Dentale diagnose
- Klasse III
Kaakchirurgie
- Verlenging bovenkaak (Le Fort I)
- Onderkaak rotatie
- Kinchirurgie
Esthetische chirurgie
- Jukbeen augmentatie















