Ga terug naar het case overzicht
Debbora: Implant concept "all-on 4" & lipofilling discrete lip lipofilling
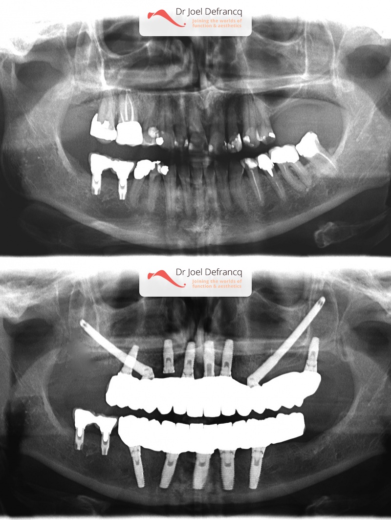
Dentale diagnose
- Klasse II divisie 2
Behandeling tandheelkundige implantaten
- Vaste tanden op implantaten (bovenkaak)
- Vaste tanden op implantaten (onderkaak)
- Zygoma implantaten
Esthetische chirurgie
- Discrete lipofilling der lippen















