Ga terug naar het case overzicht
Bieke
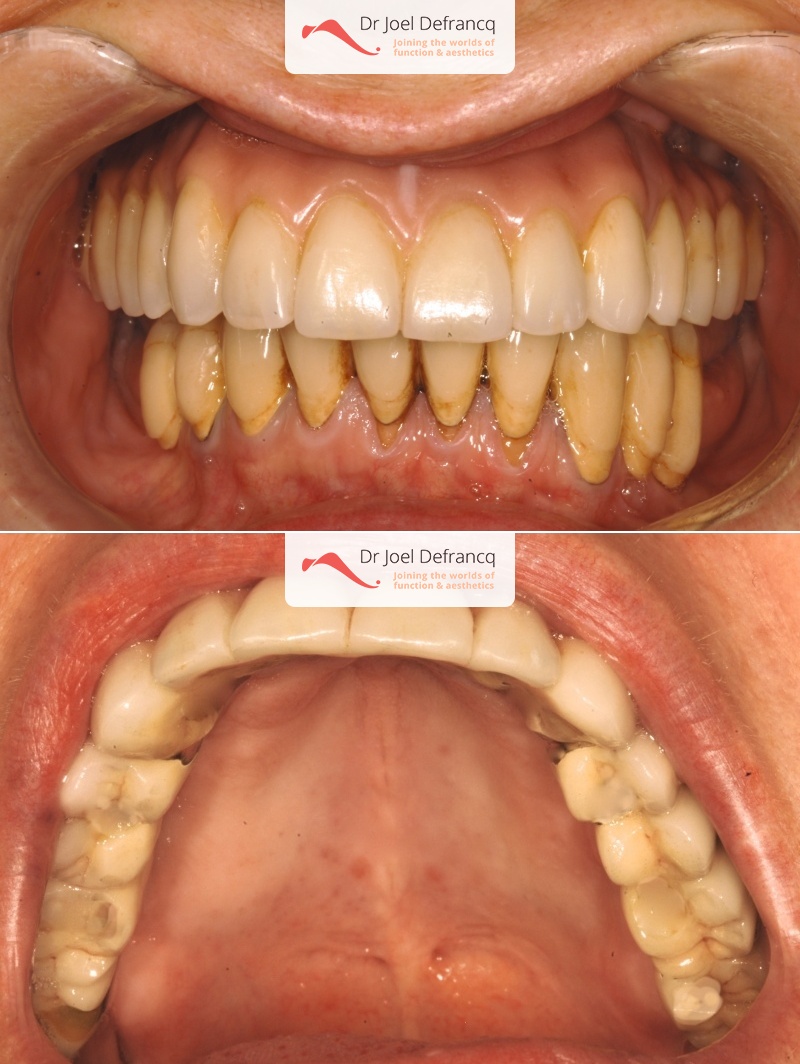
Dentale diagnose
- Klasse I
Behandeling tandheelkundige implantaten
- Vaste tanden op implantaten (bovenkaak)















